Eine Parodontitis ist eine Entzündung des Zahnhalteapparates. Verursacht wird die Parodontitis durch Bakterien und die Entzündungsreaktion des Körpers. Durch diese chronische Entzündung wird der Kieferknochen zerstört, wodurch es bei fortgeschrittener Erkrankung zu Zahnverlust kommt. Seltene Formen der Parodontitis führen unbehandelt schon bei jungen Erwachsenen zu Zahnverlust; ansonsten tritt dieser erst später auf, wenn die Parodontitis nicht erkannt und behandelt wird.
 |
|
|
Eine Parodontitis beginnt immer mit einer Zahnfleischentzündung (Gingivitis). Diese ist für Sie oft nur schwer zu erkennen. Am ehesten bemerken Sie eine erhöhte Neigung zu Zahnfleischbluten. Auch kann das Zahnfleisch geschwollen sein; an den Zähnen sehen Sie oft einen verfärbten bakteriellen Belag.
Parodontitis wird häufig erst im Alter von 40 oder 50 Jahren entdeckt, obwohl die ersten Krankheitszeichen durch den Zahnarzt früher feststellbar sind.
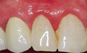
Gesundes Zahnfleisch
Gesundes Zahnfleisch füllt die Zwischenräume zwischen den Zähnen vollständig aus und blutet bei Berührung nicht. Die Zähne sind belagfrei.
Entzündetes Zahnfleisch
(Gingivitis)
Erkranktes Zahnfleisch ist gerötet, blutet leicht bei Berührung und ist geschwollen. Die Zähne sind mit bakteriellen und verfärbten Belägen behaftet.
 |
|
 |
|
 |
Gesundes Zahnfleisch |
|
Entzündetes Zahnfleisch |
|
Fortgeschrittene Parodontitis |
Risikofaktoren die eine Parodontitis begünstigen:
• Rauchen
• Immunschwäche
• mangelhafte Mundhygiene
• Diabetes
• bestimmte Medikamente
• erbliche Veranlagung
Weitere Folgen einer unbehandelten Parodontitis:
• Komplikationen während der Schwangerschaft (Frühgeburten und niedriges Geburtsgewicht)
• erhöhtes Risiko für Herzerkrankungen und Diabetes sein.
Mikrobiologische Nachweisverfahren
Ausführliche Informationen - Mikrobiologischer Test
Wir führen Diagnostik, Therapie und Nachsorge (Recall) nach den Empfehlungen der Deutschen Gesellschaft für Parodontologie durch!
Link zum Thema: www.dgparo.de
nach oben
|